私たちスマイルデンタルクリニックは、「皆様のスマイルに出会うこと」をコンセプトとした歯科医院です。
患者様に快適に治療をお受けいただくために、クリニック内は寛げる空間を演出し、治療の質を維持するために、さまざまな設備・機器を導入しています。
ここでは、スマイルデンタルクリニックのクリニック内をご案内し、設備・機器をご紹介します。
院内ツアー
受付 & 待合室– Reception & Waiting Room -


スマイルデンタルクリニックでは、皆様がくつろげる空間を心掛けています。
お子様連れのママさん、パパさんにも安心のキッズルームを完備!お気軽にお越しください。
診察室– Cure & Care Room -

スタイリッシュな空間で少しでもリラックスしていただけるように、診察室はホワイトとピンクで統一しています。
完全個室の診察室– Special Treatment Room -
他の方の目も気にならない完全個室型診療室もご用意しています。
設備・機器
精密な治療で最小限の治療を実現マイクロスコープ & ルーペ- Microscope & Loupe -

スマイルデンタルクリニックでは、できるだけ「削らない」「抜かない」治療をコンセプトとしています。そのため、治療では必要に応じて歯科用顕微鏡(マイクロスコープ)及びマイクロルーペを使用しています。
歯科用顕微鏡(マイクロスコープ)は、肉眼の約20倍(マイクロルーペは肉眼の約4倍)の精度の治療を行うことができます。
これにより、肉眼では見ることのできないミクロの単位で細菌を除去することが可能です。また、精度の高い治療では、菌に侵された組織だけを除去することができるため、治療の範囲を最小限に抑え、できるだけ「削らない」「抜かない」治療へ繋がります。
当クリニックでは、診療の質向上を目的にすべてのドクターにマイクロルーペの訓練と適切な使用を義務付けています。
-

マイクロスコープ
-

マイクロルーペ
※顕微鏡(マイクロスコープ)やマイクロルーペは、倍率を拡大すればするほど、視野が狭くなるため、すべての治療に対して使用すべきものではなく、治療内容に応じて顕微鏡(マイクロスコープ)、マイクロルーペ、肉眼のいずれで治療を行うかを選択しています。
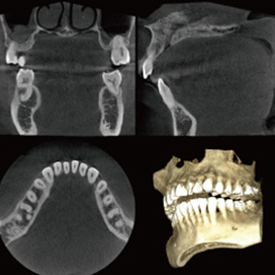
精度が高い診査・診断&安心・安全な治療歯科用CT- Computer Tomograghy -

CTとはComputer Tomograghyの略で、日本語ではコンピューター断層撮影と訳されます。
これは、X線とコンピューターによって、歯や骨の位置や形態などを3D画像で立体的に撮影するための医療機器です。
血管や神経の位置を立体的に把握し、骨量、骨密度を正確に確認できるため、インプラント治療の際にはCTによる診査・診断が必須となっています。
また、CTは、インプラント治療だけでなく、全ての歯科治療の精度向上に役立ちます。
歯槽骨の状態や根管の形態等をより正確に把握することができるため、埋伏歯抜歯、矯正治療、根管治療、歯周病治療など、さまざまな治療において、より正確な診査・診断、治療の高度化が期待できます。
多くの歯科医院では、CTを撮影するために外部のスキャニングセンターへ撮影に出向く必要がありますが、当クリニックでは院内にCTを設置しているため、レントゲンと同じように院内で撮影し、即座に診ることができます。
痛みの少ない治療のために・・・
針のない注射器

シリジェットは、高圧力のジェット噴流で麻酔薬を浸透させる「針が無い注射器」です。
電動注射器

コンピューター制御のコードレス麻酔注射器を導入。極細の注射針を使い、同一圧力でゆっくりと麻酔液を注入します。
塗る、貼る麻酔

ジェル状の麻酔薬は歯肉の表面に塗布するだけ!シール型の麻酔薬は歯肉に貼るだけです。
万全の院内感染予防対策

スマイルデンタルクリニックでは、患者さまを感染から守るため、医療機器・器具に対する徹底した消毒、滅菌を行い、使用する直前までパックで密封しておく衛生管理システムを採用しています。
また、コップやエプロンなどは可能な限りディスポーサブル(使い捨て)を使用し、患者さまごとに新しいものをご用意しています。
-

器具の個別滅菌パック
-

グローブも患者様ごとに交換

そして、院内感染のリスクを回避するために、当クリニックでは、十分な数のハンドピースを用意し、患者さまごとに交換し、使用しています。
ハンドピース洗浄注油器

手洗いでは行えないハンドピースの内部まで自動で洗浄することができます。
ハンドピース専用滅菌器

歯を削る切削機器専用の高圧蒸気滅菌器です。通常の滅菌器よりも高速で滅菌することができます。
高圧蒸気滅菌器

オートクレーブとも言い、高温・高圧蒸気で滅菌を行う機器です。
コミュニケーションを大切に・・・

スマイルデンタルクリニックでは、コミュニケーションをとりながら、患者さまと向き合い、治療や予防の計画についての選択肢をしっかりと提示しつつ、患者さまのご希望に沿った納得のいく方法を選択していきます。
治療や予防の計画については、費用や期間をわかりやすく、丁寧にご説明します。
そのために、ユニットには、治療内容のご説明を助けるモニターを設置しています。CT、レントゲン画像や口腔内写真、治療説明用動画などをご覧いただけます。
治療説明用動画

治療内容を視覚的にわかりやすく説明する動画アニメーションをご用意しています。
口腔内カメラ

問題が起きている箇所を口腔内専用のカメラで撮影し、ご自身の症状をご理解いただいたうえで、治療を進めていきます。
口腔内用一眼レフカメラ

口腔内撮影用の一眼レフカメラを用いて口腔内の変化を経時的に記録します。
レーザー治療器- OPELASER PRO -

レーザー治療器は、歯茎の腫れを抑え、歯周病の治りを早くするだけでなく、虫歯になりにくくしたり、虫歯になってしまったら必要最低限の除去治療を行うことができます。
不快な「キュイーン」という音や「ガリガリ」という振動がなく、痛みが少ないので、麻酔を使わずに治療できることもあります。 殺菌効果も高いので、治療後の経過も良好になります。
施設基準について
当院は施設基準について下記の基準にて運用されております。
(歯初診)第300606号
(外安全1)第24360号
(外感染1)第24360号
(歯訪診)第288167号
(手顕微加)第300608号
(口腔粘膜)第300607号
(歯CAD)第283978号
(根切顕微)第300609号
(手光機)第310975号
(補管)第230324号























