
歯を失ってしまったときに、天然の歯と同じような自然な見た目と噛み心地を取り戻すことができる治療法がインプラント治療です。
失ってしまった歯の替わりに、顎の骨に人工の歯根を埋め込み、 その上に人工の歯を被せます。
インプラント治療なら、残っている天然歯を削ったり、負担を掛けたりせずに、見た目も自然でしっかりと噛める歯を取り戻すことができます。
インプラント治療の特徴
POINT 1
健康な歯を削らない
歯を失ったときの治療法の1つとして、ブリッジがあります。
ブリッジとは、失った歯の両隣の歯を土台にして、連結した複数本の人工の歯で、橋のように欠損部位を補う治療法です。その際、両隣の天然歯を削る必要があります。
それに対して、インプラント治療は、周囲の健康な歯を削る必要がありません。
POINT 2
残っている健康な歯に負担をかけない
ブリッジや入れ歯では、本来3本の歯で支えていた噛む力を2つの歯で支えなくてはならなくなります。そのため、過度に負担が掛かる歯は、根元が折れてしまったり、抜けてしまったりする危険にさらされます。
-

ブリッジは・・・
土台となる歯に負担がかかって歯の寿命を縮める可能性が。 -

入れ歯だと・・・
入れ歯を固定するバネが健康な歯の負担に。
POINT 3

噛む力も見た目もまるで自分の歯
インプラントは、入れ歯のような異物感や違和感がまったくなく、ご自分の歯と同じように何でも噛むことができます。
また、見た目も自然で、入れ歯のように外見が気になることもありません。

安心・安全なインプラント治療のために・・・
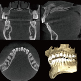
精度が高い診査・診断&安心・安全な治療歯科用CT- Computer Tomograghy -

CTとはComputer Tomograghyの略で、日本語ではコンピューター断層撮影と訳されます。 これは、X線とコンピューターによって、歯や骨の位置や形態などを3D画像で立体的に撮影するための医療機器です。
血管や神経の位置を立体的に把握し、骨量、骨密度を正確に確認できるため、インプラント治療の際にはCTによる診査・診断が必須となっています。
多くの歯科医院では、CTを撮影するために外部のスキャニングセンターへ撮影に出向く必要がありますが、当クリニックでは院内にCTを設置しているため、レントゲンと同じように院内で撮影し、即座に診ることができます。
インプラントシミュレーションシステム - SIMPLANT -

インプラント治療を行う前には、CTで撮影した画像やデータを元に、コンピューター上でインプラント治療専用ソフトを用いたシミュレーションを行います。
3D解析による精密なシミュレーションを行うことで、血管や神経を傷付けることなく、より安全・安心にインプラント治療を行うことができます。
完全個室の特診室

当クリニックでは、インプラント手術を行うときには、完全個室の特診室を使用します。
患者さまのプライバシーとアメニティを確保するとともに、安全性を確保するため、術者が手術だけに集中できる環境を整えています。
インプラント治療の流れ
-
- STEP1
-
インプラント精密検査
歯周検査やCT撮影を行います。スマイルデンタルクリニックでは、CTも完備しているため、外部の病院等に出向くことなく、その場で撮影することができます。
-
- STEP2
-
治療計画の策定
精密検査で取得したデータを元に、治療計画を立案します。正確な治療計画策定のために、インプラントのシミュレーションソフトも導入しています。
-
- STEP3
-
インフォームドコンセント
治療内容や期間、スケジュール、及び治療費等を丁寧にわかりやすくご説明します。
-
- STEP4
-
インプラント手術
治療計画に同意いただき、インプラント治療を受けたいとのお申し出をいただきますと、インプラント手術へと進んでいます。
-
- STEP5
-
治癒期間
インプラントが骨に結合するまで。
-
- STEP6
-
人工の歯の装着
2次オペ(簡単な歯肉の切開)を行い、土台(アバットメント)を設置します。その後、人工の歯を作成し、装着します。
-
- STEP7
-
メインテナンスへ
インプラント治療後は、ご自分の歯と同じように、メインテナンスを行っていきます。




















