歯医者さんを好きになってもらうために・・・

スマイルデンタルクリニックでは、嫌がっているお子様に、強引にお口を開けて治療することはせずに、まず歯科医院に慣れてもらうことを大切にしています。
誰でも初めての場所や見慣れないものに囲まれたときには、不安になります。小さなお子様にとって、歯科医院で見るもの、されることがすべて初めてのことばかりです。
無理矢理に治療をするのではなく、お子様が積極的にお口を開けて診せてくれるようになってから治療を始めることで、歯医者嫌いになることなく、生涯にわたってお口の健康を守る土台を作ることができます。
お子様の歯を守る
乳歯はむし歯になりやすく、進行も早いことをご存じですか?
当クリニックでは、お子様のお口の健康と成長を支えるために、「むし歯を治す」だけでなく、「むし歯にならないように予防する」ことを大切にしています。
子供の頃から歯科医院でむし歯を予防することで、「歯医者さんは怖い、痛いところ」ではなく、「歯やお口と歯をキレイにするところ」という認識を持ってもらうことができます。
ママさん、パパさんと一緒にブラッシングレッスン

むし歯を効果的に予防するためには、ご家庭で行う毎日の歯磨きがとても大切です。そのため、当クリニックではブラッシングレッスンを行っています。
お子様には、楽しく歯磨きの仕方を身に付けられるように、またママさん、パパさんには、効果的な仕上げ磨きの方法をアドバイスしています。
フッ素でコーティングし歯を強化する
フッ素には、歯質の強化、再石灰化の促進、むし歯菌の抑制という3つのむし歯予防効果があります。
このフッ素で歯をコーティングすることで、むし歯を効果的に予防することができます。
-
- 歯質の強化
- 歯にフッ素が取り込まれ、歯質を強化し、酸から歯を溶けにくくする。
-
- 再石灰化の促進
- 唾液中に含まれるミネラルの沈着を促し、再石灰化を助ける。
-
- 酸の生成を抑制
- フッ素が歯垢(プラーク)の中まで浸透し、酸の生成を抑制する。
フッ素は、定期的(3〜6か月ごと)に塗布することで、予防効果を維持することができます。
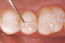
シーラントで奥歯の溝を守る

奥歯の溝は、歯ブラシが届きにくく、汚れが溜まりやすいため、むし歯になりやすい箇所です。シーラントとは、この溝をプラスチック樹脂で埋めてしまう予防法です。 シーラントを行うことで、歯ブラシで磨きやすく、汚れが溜まりにくくなります。
このフッ素で歯をコーティングすることで、むし歯を効果的に予防することができます。
むし歯にさせないために、ママさん、パパさんにできること
以下のようなトラブルも口腔外科の対象領域です。お気軽にご相談ください。
- おやつやジュース
- むし歯菌は、食べ物や飲み物に含まれる糖分をエサに酸を出し、歯を溶かします。そのため、おかしやジュースなど、糖分のとりすぎには気を付けましょう。
また、同じ量の砂糖でも1度にとるよりも、だらだらと継続的にとるほうがはるかにむし歯になりやすくなります。おやつやジュースは回数と時間を決めて規則正しくとるようにすると、むし歯になるリスクを下げることができます。 - 感染の窓
- 感染の窓とは、むし歯菌が母子感染を起こしやすい1才半~3才くらいの時期のこと。ママさん、パパさんがむし歯を治し、細菌の少ない口腔内環境を維持することで、むし歯菌の感染を抑え、お子様がむし歯になることを予防することができます。
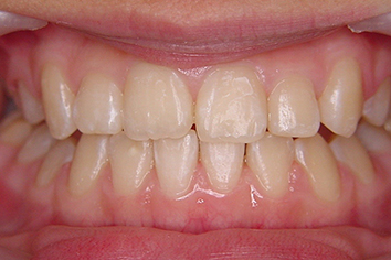
歯並びをキレイにし、健康と成長をサポート
こどもの歯は成長段階にあるため、その成長を誘導することで、比較的単純な装置で矯正治療を行うことができます。
発育段階が終わってから行う矯正治療よりも、短期間、低費用で歯並びをキレイにすることができます。
-

術前
-

術後

















