
口腔外科とは、抜歯や病巣の摘出など、お口の中での外科的な手術を伴う治療です。
簡単な抜歯や病巣の摘出は当クリニックで行うことができますが、症例によっては大学病院などの信頼できる医療機関をご紹介します。
全身疾患を持つ患者様の口腔外科手術を行うケースでは、内科の医療機関と連携を図り、診療情報提供書を確認したうえで、万全の体制で手術にあたっています。
親知らずの抜歯
親知らずとは、10代後半から20代前半に生えてくる1番奥の臼歯です。現代人の顎の骨は、以前よりも小さくなっています。そのため、歯が生える顎の骨のスペースが狭く、最後に生えてくる親知らずが正常に生えないケースが多くなっています。
まっすぐ正常に生えるか、完全に埋まっている親知らずは、抜く必要はありません。しかし、「一部だけ出ている」、「斜めに生えている」ケースでは、親知らずを抜歯したほうが望ましいケースが多くなります。
一部だけが出ているケースでは、プラークが溜まりやすく虫歯や歯周病、口臭の原因になる可能性があります。また、斜めに生えているケースでは、親知らずが隣の歯を押し出してしまい、歯列不正や顎関節症の原因となる可能性もあります。
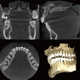
難易度が高い親知らずの抜歯にはCTを使用

スマイルデンタルクリニックでは、歯科用CTを導入しているため、親知らずの形態、神経の位置を立体的に把握したうえで処置を行うことができます。
CTとはComputer Tomograghyの略で、日本語ではコンピューター断層撮影と訳されます。
これは、X線とコンピューターによって、歯や骨の位置や形態などを3D画像で立体的に撮影するための医療機器です。
親知らずの生え方によって抜歯に伴うリスクが高い場合も少なくありません。しっかりとした診査・診断のもと、リスクが高い場合には大学病院などの信頼できる医療機関をご紹介します。
口腔外科の診療内容
以下のようなトラブルも口腔外科の対象領域です。お気軽にご相談ください。
※診査・診断の結果、信頼できる専門の医療機関をご紹介する場合があります
- 顎関節症
- 顎の関節に、痛い、音が鳴るなどの不快症状が生じる顎関節症の診査・診断、及び治療を行います。
- 炎症・膜疾患・口内炎
- お口の中の炎症や口内炎などの診査・診断、及び治療を行います。
- 歯の破折・脱臼・骨折・外傷
- 事故等による歯の破折、歯槽骨の骨折、唇やお口の中の外傷などを治療します。
- のう胞・腫瘍
- お口の中にできる、のう胞(袋状のできもの)・腫瘍(癌も含む)の診査・診断、及び治療を行います。




















